Stadien und Verlauf der Coxarthrose . Grad 0: Die gesunde Knorpeloberfläche ist glatt und elastisch. Grad 1: Die Knorpeloberfläche im Hüftgelenk ist angeraut und bereits teilweise weich durch den beginnenden Verlust an hyalinem Knorpelgewebe (Gelenkknorpel). Der Patient ist symptomfrei und die Hüftarthrose wird oft zufällig.. Ursachen: Nicht eindeutig geklärt, Risikofaktoren sind genetische Disposition, Alter, Geschlecht, Adipositas, mangelnde Bewegung, Fehlstellungen und Überlastung des Gelenks. Symptome: Schmerzen in Hüfte, Leiste, Oberschenkel und / oder Knie, Knirsch- und Knackgeräusche, Bewegungseinschränkungen.

Arthrose des Hüftgelenkes Orthopaedicus Leipzig

Grad der Behinderung (GdB) Sozialverband VdK Deutschland e.V.

Hüftgelenk Dr. Klaus Kirschbichler Orthopädie. Unfallchirurgie. Gelenkersatz.

Pflegrade und Einstufung Pflegehilfsmittel von noramed

Übungen Hüftschmerzen in 2 Wochen behandeln Liebscher & Bracht

Revision einer Hüftprothese in der Orthopädischen Klinik YouTube

Übungen bei Hüftschmerzen Hüftbeuger dehnen hilft gerade auch bei Koxarthrose! YouTube

Coxarthrose Hüftgelenksarthrose Hüfte & Knie Orthozentrum Cham, Zug Schweiz
Hüftschmerzen Effektive Übungen gegen Coxarthrose Coxarthrose / Hüftgelenksarthrose ️ wer

Coxarthrose Maybachklinik Centrum für Orthopädie Stuttgart

Hüftgelenksarthrose Ursachen, Symptome und Diagnose MedicSpark.de

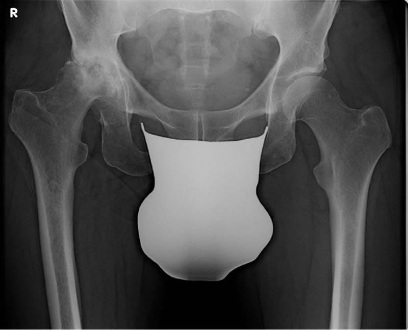
HüftTEP bei Coxarthrose klinische Leitlinie veröffentlicht

Galerie Univ. Doz. Dr. Böhler

Cartilage damage Information on therapy

Arthrose Was tun bei Gelenkschmerzen? Dr. Böhm® Ratgeber

Hüftgelenksarthrose » Ordination Url Orthopäde Dr. Robert Url

Du hast Hüftarthrose? Diese Übungen können dir Helfen! (Coxarthrose) YouTube

Coxarthrose Hüftgelenksarthrose Hüfte & Knie Orthozentrum Cham, Zug Schweiz

Koxarthrose

Was ist Coxarthrose? Definition, Stadien & Ursachen Liebscher & Bracht
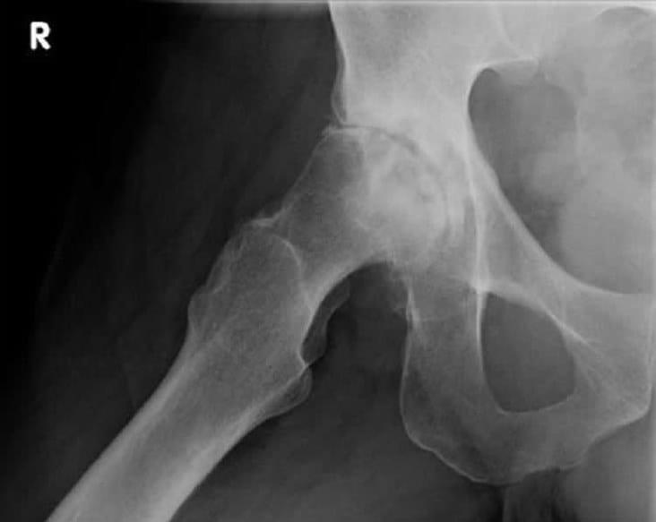
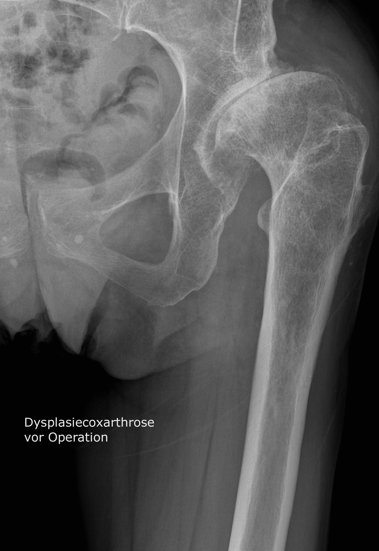
Coxarthrose (deutsch: Koxarthrose oder Hüftarthrose) ist eine degenerative, nicht-entzündliche Gelenkerkrankung der Hüfte: Die Knorpelschicht zwischen Hüftkopf und Hüftpfanne nutzt sich langsam fortschreitend ab. Wenn der Gelenkknorpel schließlich dünner wird, drohen die knöchernen Gelenkflächen aufeinanderzureiben.. Den Verschleiß des Hüftgelenkes bezeichnet der Mediziner als Coxarthrose. Diese kann sowohl unter Belastung, aber auch im Ruhezustand zu starken Schmerzen führen. Ferner kann die Beweglichkeit des Gelenks deutlich eingeschränkt sein. Woran erkennt man eine mögliche Hüftgelenksarthrose? Wann ist eine Operation sinnvoll?